SONON 500L imagen principal
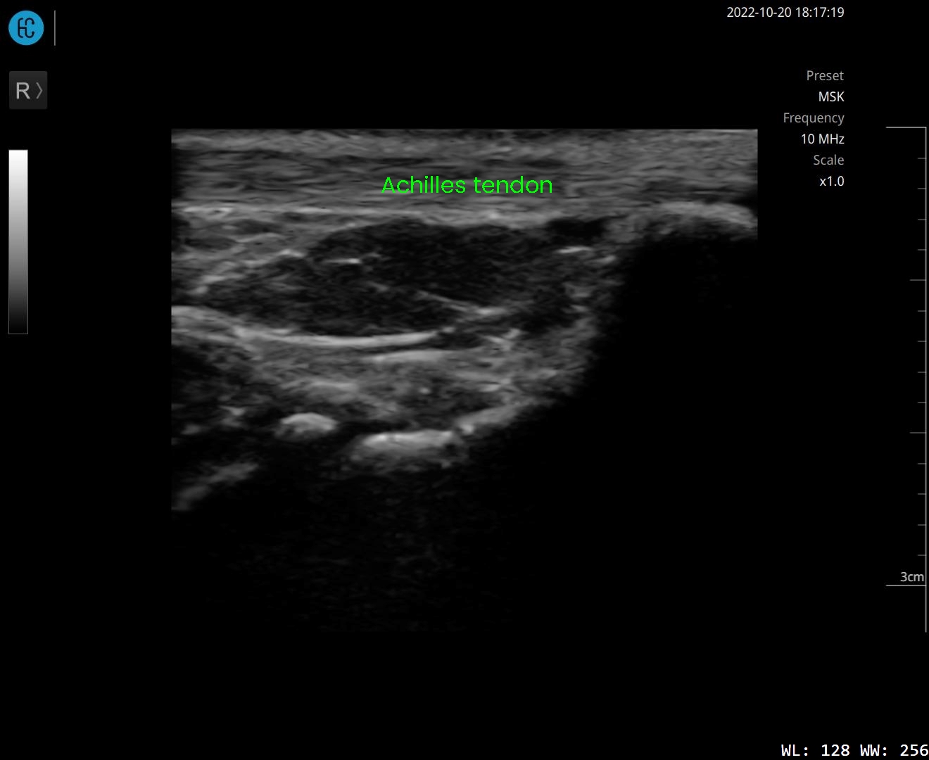
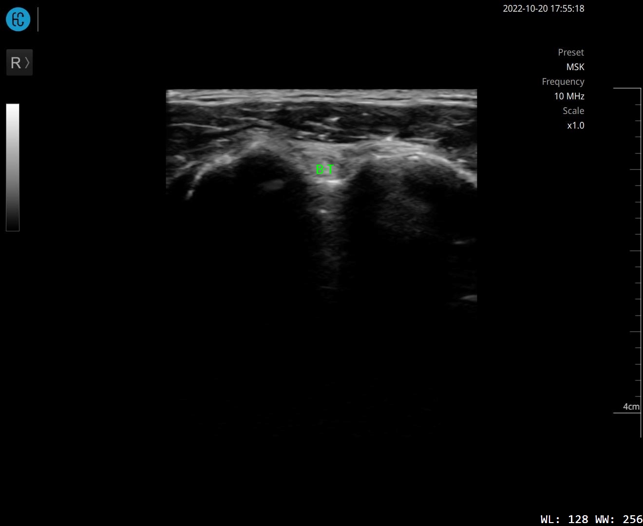
SONON 500L ecografía 1 SONON 500L ecografía 2 SONON 500L ecografía 3